400-810-1819 微信扫码登录
当前位置: 首页 >新闻 >

肺部毛玻璃样变肺癌?一文解析你不知道的肺部小病变

类别:新闻 时间:2017-09-10 阅读:

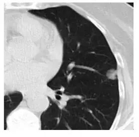
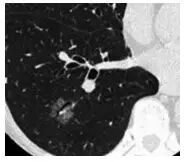
肺磨玻璃影(GGO,ground glass opacity)在胸部 CT 表现为密度轻度增高的云雾状淡薄影/圆形结节,样子像磨砂玻璃一样,所以叫磨玻璃影。

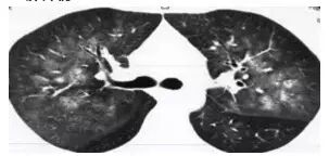
GGO 可以是弥漫性散在生长,也可以仅聚集在局部,看起来像一个小磨玻璃结节。一般而言,弥漫性生长的多数是良性病变,局灶性生长的容易不好。

以下类型的 GGO 要当心

在更多的时候 GGO 是恶性的。

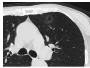
1. 空泡型 GGO

2. 胸膜凹陷

3. 支气管充气征

4. 荷包蛋型

下面这些 GGO 不是肺癌

肺 GGO 不一定是癌。有时候,肺部炎症、 出血、 纤维化(炎症后遗留的瘢痕)都可以造成肺 GGO。

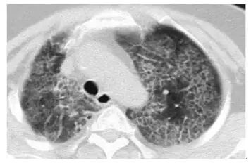
1. 肺泡蛋白沉积症

患者的肺像铺路石一样

2. 马赛克灌注(Mosaic perfusion)

这是肺内通气灌注不一致的表现,主要是小支气管炎症导致肺内局部积气,像马赛克拼图一样

3. 隐球菌感染(「肺里面长蘑菇了」)

这个也像 GGO,还有一个小空洞

4. 肺淋巴管平滑肌肌瘤病

弥漫性的 GGO

5. 肺外伤

弥漫性的 GGO

良恶性 GGO 的鉴别

薄层 CT 配合三维重建、定期动态 CT 观察

1. 伴明显分叶、空泡、胸膜凹陷征或明显实性成分(荷包蛋:中间厚外周薄)的 GGO 提示恶性病变;

2. 随访中病灶消散或明显缩小者考虑炎症反应可能;

3. 随访中,GGO 增大、病灶密度变实,或兼有肿瘤微血管 CT 成像征时,提示恶性病变。

从局灶性 GGO 到早期肺癌

肺 GGO 肯定是从小逐渐长到大的,不会一开始就变成巨无霸。

这个进展过程相对缓慢,GGO 早期肺癌的生长呈惰性表现,长大一倍所用的时间较长,故 GGO 的随访时间一般至少为 3 年。

在初期(< 1 cm)往往很纯、密度很低、圆脸、边界也清晰,这时还不一定是恶性的,可以称为「纯 GGO」。切除后多证实为腺瘤样不典型增生(AAH,癌前病变)或原位腺癌(AIS,未侵犯周围血管间质、不会转移,5 年生存率 100%),极端情况下也可是微浸润腺癌(MIA,侵犯周围血管间质 < 5 mm,不会转移,切除后 5 年生存率 100%)。

20% 的纯 GGO 在随访过程中病灶会增大或变成混合型 GGO,而 40% 的混合型 GGO 在随访中会增大或实变区增大。

当逐渐长大进展,纯 GGO 的实性成分增加,成为「混合性GGO」。有时,还会出现分叶、毛刺、空泡,胸膜凹陷,血管密集等改变,这时多数已经是恶性了,为浸润性腺癌——可侵犯血管、肺内或全身转移。

局灶性肺 GGO 的随访

一般来说,< 8 mm 可以 3~6 个月随访一次胸部 CT 平扫;已经 > 8 mm 或随访有长大趋势或出现许多恶性的征象,需早期手术治疗。

术前检查

1. PET/CT检查

GGO 病变,一般 SUV 摄取值较低,PET/CT 检查对它的价值有限,一般不推荐。(ps:PET/CT 一般医保不报销,7000 元一次,可以全身体检。)

2. 增强 CT 检查

对于所有纯 GGO,一般不需要做 CT 增强扫描;但 mGGO、病灶与肺血管关系密切或者怀疑淋巴结转移时可以行胸部 CT 增强扫描。

3. 行气管镜、骨扫描检查

纯 GGO,术前气管镜以及骨扫描等检查的阳性率低,一般不必做太多相应的检查。

如何手术治疗肺 GGO

目前多数学者同意,微创胸腔镜手术是 GGO 早期肺癌的首选治疗方式,包括单孔胸腔镜、单操作孔胸腔镜、三孔胸腔镜、剑突下胸腔镜。

最新数据表明,微创手术治疗肺癌预后优于开大刀,因为创伤小,保护了患者术后的免疫力。

1. 术前定位

CT 引导下经皮肺穿刺亚甲蓝注射、放置微弹簧圈、Hook-Wire定位、放射性示踪剂注射;经电磁导航支气管镜引导注入染色标志物或微弹簧圈等(费用贵)。

2. 术中定位

术中胸腔镜 B 超探头定位、术中 CT 定位

3. 术后复查

GGO 的术后复查跟常规肺癌类似,只是不用频繁做骨扫描及头颅磁共振。

多个 GGO 的治疗

临床上,许多患者,现在会遇到同时发现肺内多发 GGO 病变。

有些患者是一个主病灶,伴有多个小 GGO ,其实只需要切除这个主病灶,其他小 GGO 不成气候,可以随访。

还有些病人是多个主病灶,分布在不同的位置,这种情况下,可以采用同期手术的方式,把它们一锅端,一次手术解决所有病灶。


4 个肿瘤一次全切除后,分别为 4 种类型的肺癌

GGO 需要放化疗吗?

多数 GGO 影患者术后病理提示是早期肺癌,并不需要化疗和放疗。只有极少数的混合性 GGO 如果病灶直径很大,或者合并淋巴结转移才需要化疗。

目前研究还没有证实靶向治疗对于 GGO 患者有好处,除非有病灶因为肺功能低下而无法切除。可常规建议患者术后做基因检测,将来万一复发了可以考虑靶向治疗。

总结一下,GGO 如果是弥漫性的,一般不是恶性的,如果是局灶性的要当心一点,特别小的仅需需要随访。注意让患者增强体质,如果病灶变大变实多数是早期肺癌,目前微创手术能够根治。

本文作者为上海市肺科医院胸外科医师 谢冬

本文来自丁香园。

上一篇:最新痛风药物治疗总结,你给多少分?
下一篇:5块和25块的牙膏有啥区别?真相可能让你大吃一惊! 返回上级目录